I am a Postdoctoral Researcher at Odyssey Digital Pathology, where I develop deep learning segmentation models for multi-cancer lymph node screening. By training I am a physicist, holding Bachelor's and Master's degrees in Physics. Over the years I have built deep expertise in optical and X-ray microscopy, as well as image analysis using both conventional and deep learning approaches. My research has focused primarily on the pathology domain, where I have developed a working knowledge of cancer biology and histopathology along the way.

Micro-CT and deep learning were used to develop novel tools for the diagnosis and prognosis of thyroid tumors, addressing the sampling bias inherent to conventional histology and enabling faster, more confident evaluation of thyroid neoplasms.

A 3D U-Net for simultaneous denoising and sharpening of micro-CT scans, trained on 467 heterogeneous volumes across multiple scanners and sample types.

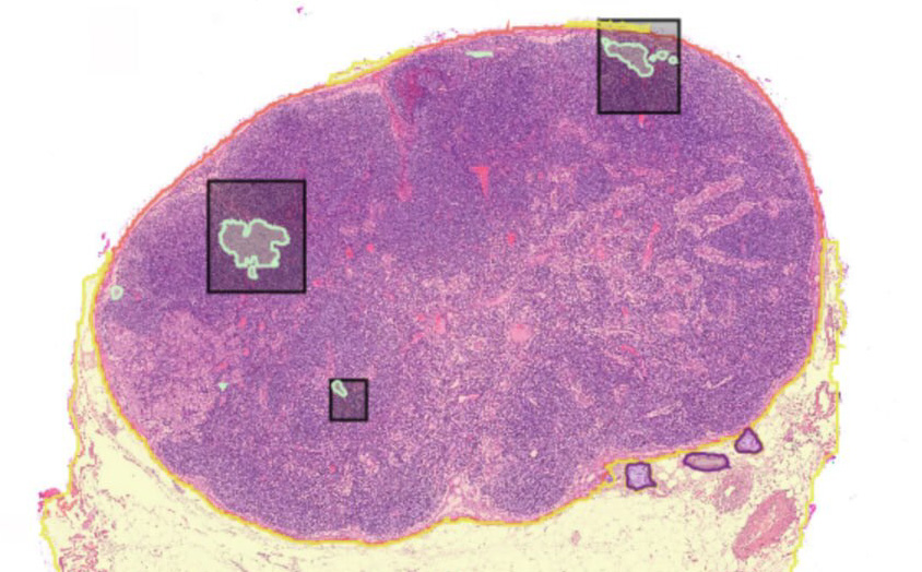
AI-assisted lymph node screening and metastasis detection in whole slide images, enabling automated N-staging for multi-cancer pathology workflows.

A differential phase-contrast microscope with a low-coherence light source

A web-based tool for patchwise inference of tumor diagnostics and BRAF V600E mutation status on 3D micro-CT volumes of thyroid tumors.